CLOSE

Ανεύρυσμα Κοιλιακής Αορτής

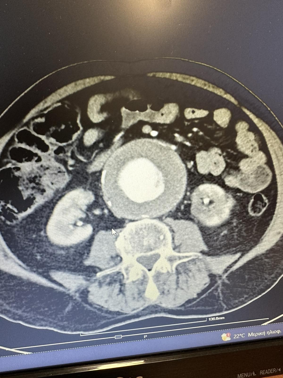
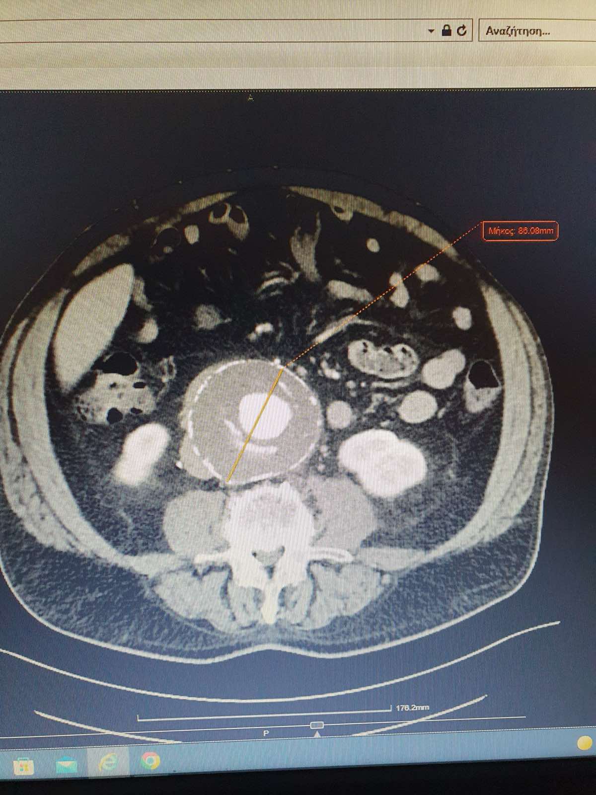
Σε φυσιολογικές συνθήκες η κοιλιακή αορτή έχει μέγεθος από 1,8εκ. – 2,2εκ. Σε ορισμένους ασθενείς τα τοιχώματα της κοιλιακής αορτής είναι πιο αδύναμα και λόγω της πίεσης του αίματος το αγγείο διογκώνεται όπως ένα μπαλόνι. Εάν η κοιλιακή αορτή υπερβεί τα 3εκ. τότε δημιουργείται ανεύρυσμα της κοιλιακής αορτής.

Η αορτή είναι το μεγαλύτερο αγγείο του σώματος το οποίο ξεκινά από την καρδιά περνά δια μέσου του θώρακος και της κοιλιάς και στο επίπεδο του ομφαλού χωρίζεται στις δύο λαγόνιες αρτηρίες. Το τμήμα της αορτής το οποίο ευρίσκεται στην κοιλιά ονομάζεται κοιλιακή αορτή και τροφοδοτεί με αίμα όλα τα όργανα της κοιλιάς και τα δύο κάτω άκρα. Φυσιολογικά η κοιλιακή αορτή έχει μέγεθος από 1,8εκ. – 2,2εκ. Σε ορισμένους ασθενείς τα τοιχώματα της κοιλιακής αορτής είναι πιο αδύναμα και λόγω της πίεσης του αίματος το αγγείο διογκώνεται όπως ένα μπαλόνι. Εάν η κοιλιακή αορτή υπερβεί τα 3εκ. τότε δημιουργείται το λεγόμενο ανεύρυσμα της κοιλιακής αορτής.

Ο μεγαλύτερος κίνδυνος από τα ανευρύσματα είναι η ρήξη, η οποία εάν συμβεί, συνήθως οδηγεί σε ακαριαίο θάνατο λόγω κατακλυσμιαίας εσωτερικής αιμορραγίας. Μία λιγότερο συχνή επιπλοκή του ανευρύσματος είναι ο περιφερικός εμβολισμός. Στα περισσότερα ανευρύσματα υπάρχει σημαντική ποσότητα θρόμβου μέσα στο αγγείο. Σε ορισμένες περιπτώσεις ένα κομμάτι από το θρόμβο μπορεί να αποκολληθεί, να μεταφερθεί με την κυκλοφορία του αίματος και να αποφράξει ένα οποιοδήποτε κλάδο της αορτής ή των κάτω άκρων (περιφερικός εμβολισμός).

Το ανεύρυσμα κοιλιακής αορτής προσβάλει συνήθως άνδρες, μεγαλύτερους των 60 ετών. Ευτυχώς, εάν διαγνωστεί έγκαιρα, (δηλαδή πριν από την ρήξη) η θεραπεία του είναι εύκολη και άκρως αποτελεσματική. Οι περισσότεροι ασθενείς δεν αισθάνονται κανένα απολύτως σύμπτωμα. Ορισμένοι ασθενείς μπορεί να αισθάνονται μία σφύζουσα μάζα στην κοιλιακή χώρα. Ξαφνικός πόνος στη κοιλιά ή στη μέση, ζαλάδα, λιποθυμία είναι συμπτώματα ρήξεως. Σε σπάνιες περιπτώσεις οι ασθενείς μπορούν να νιώσουν κοιλιακό πόνο ή πόνο στα κάτω άκρα λόγω εμβολισμού θρομβωτικού υλικού από το ανεύρυσμα.

Η αιτιολογία του ανευρύσματος είναι άγνωστη. Παράγοντες κινδύνου αποτελούν η ηλικία > 60 ετών, ύπαρξη συγγενούς 1ου βαθμού με ανεύρυσμα κοιλιακής αορτής, η υπέρταση και το κάπνισμα.

Η διάγνωση του ανευρύσματος κοιλιακής αορτής γίνεται με triplex κοιλιακής αορτής ή αξονική τομογραφία κοιλίας. Κάθε άνθρωπος (στο πλείστο των περιπτώσεων άνδρας) που υπερβαίνει το 60ο έτος της ηλικίας του πρέπει να ελέγχεται με triplex κοιλιακής αορτής (εάν έχει 1ου βαθμού συγγενή με ανεύρυσμα κοιλιακής αορτής η εξέταση πρέπει να γίνει μετά το 50ο έτος). Σε ασθενείς που χρειάζονται αποκατάσταση του ανευρύσματος κοιλιακής αορτής η πιο λεπτομερή προεγχειρητική εξέταση είναι η αξονική αγγειογραφία κοιλιακής αορτής και λαγονίων. Σε ασθενείς που δεν μπορούν να υποβληθούν σε αξονική αγγειογραφία διενεργείται μαγνητική αγγειογραφία κοιλιακής αορτής και λαγονίων.

Ο κίνδυνος ρήξης του ανευρύσματος κοιλιακής αορτής είναι ανάλογος με τη διάμετρο του. Για ανευρύσματα κοιλιακής αορτής μικρότερα των 5εκ. το μόνο που απαιτείται συνήθως είναι περιοδικός έλεγχος με triplex (ή αξονική τομογραφία), έλεγχος αρτηριακής υπέρτασης και διακοπή του καπνίσματος.

Θεραπεία χρειάζεται όταν η διάμετρος γίνει μεγαλύτερη των 5εκ. , όταν υπάρξει μεγάλη αύξηση σε δύο διαδοχικές μετρήσεις ή όταν το ανεύρυσμα προκαλέσει συμπτώματα.

Υπάρχουν δύο μέθοδοι θεραπείας, η ελάχιστα επεμβατική - ενδαγγειακή και η ανοικτή χειρουργική.

Η ΕΝΔΑΓΓΕΙΑΚΗ (ΕΛΑΧΙΣΤΑ ΕΠΕΜΒΑΤΙΚΗ) ΜΕΘΟΔΟΣ

Στη ενδαγγειακή μέθοδο η αποκατάσταση του ανευρύσματος γίνεται από το εσωτερικό του αγγείου (για το λόγο αυτό ονομάζεται και ενδαγγειακή). Με τοπική αναισθησία ο αγγειοχειρουργός εισέρχεται στο αγγειακό σύστημα από τις μηριαίες αρτηρίες (αρτηρίες των ποδιών που ευρίσκονται λίγο κάτω από το δέρμα). Στη συνέχεια η αποκατάσταση του ανευρύσματος γίνεται εκπτύσσοντας μία συνθετική ενδοπρόθεση η οποία στηρίζεται στο εσωτερικό των αγγείων με ειδικά διαμορφωμένα stents. Σε 1 ή 2 ημέρες ο ασθενής εξέρχεται του νοσοκομείου και η ανάρρωση του είναι ταχύτατη και ανώδυνη.

ΑΝΟΙΚΤΗ ΧΕΙΡΟΥΡΓΙΚΗ ΕΠΕΜΒΑΣΗ

 

Στην ανοικτή χειρουργική επέμβαση μετά από γενική νάρκωση και τομή σε όλο το μήκος της κοιλιάς αντικαθίσταται από τον αγγειοχειρουργό η αορτή με συνθετικό μόσχευμα. Μετά το χειρουργείο ο ασθενής οδηγείται στη μονάδα εντατικής θεραπείας για 1-2 ημέρες, και συνολικά παραμένει στο νοσοκομείο για 1 εβδομάδα περίπου. Για να αναρρώσει πλήρως απαιτούνται 2-3 μήνες.

Τα προτερήματα της ελάχιστα επεμβατικής μεθόδου είναι προφανή: αποφυγή γενικής νάρκωσης, απουσία τομής, ελαττωμένες επιπλοκές, ελαττωμένη θνητότητα, γρηγορότερη έξοδος από το νοσοκομείο, γρήγορη ανάρρωση και πλήρη απουσία μετεγχειρητικού πόνου.

Η διαδερμική ελάχιστα επεμβατική (ενδαγγειακή) μέθοδος εφαρμόζεται στις περισσότερες, αλλά όχι σε όλες τις περιπτώσεις ανευρύσματος κοιλιακής αορτής.

Και στις δύο μεθόδους υπάρχουν σαφείς ενδείξεις και αντενδείξεις.

Τα αποτελέσματα της ελάχιστα επεμβατικής χειρουργικής είναι άριστα όταν:

α) Εφαρμόζεται από έμπειρους αγγειοχειρουργούς σε ασθενείς στους οποίους ενδείκνυται να εφαρμοστεί η μέθοδος αυτή
β) Διενεργείται σε υψηλής τεχνολογίας εξειδικευμένο χειρουργείο (ΥΒΡΙΔΙΚΟ), το οποίο συνδυάζει την ασφάλεια του χειρουργείου με την άριστη απεικόνιση των αγγείων που προσφέρει ο ψηφιακός αγγειογράφος
γ) Χρησιμοποιούνται τελευταίας τεχνολογίας υλικά.

Οι ασθενείς που πάσχουν από ανεύρυσμα κοιλιακής αορτής είναι φρόνιμο να απευθύνονται σε αγγειοχειρουργούς που έχουν εμπειρία τόσο στην ελάχιστα επεμβατική, όσο και στην ανοικτή χειρουργική μέθοδο έτσι ώστε να εφαρμόζεται για τον κάθε ασθενή ξεχωριστά η ενδεδειγμένη θεραπεία.

Ενδαγγειακή Θεραπεία Ανευρυσμάτων Κοιλιακής Αορτής (EVAR)

Τι είναι η ενδαγγειακή θεραπεία των ανευρυσμάτων της κοιλιακής αορτής (EVAR);

Υπονεφρικό Ανευρυσμα κοιλιακής Αορτής

Η αορτή είναι το μεγαλύτερο αγγείο στο σώμα και μεταφέρει το αίμα από την καρδιά στα υπόλοιπα όργανά. Ως ανεύρυσμα ορίζεται η εστιακή διάταση μιας αρτηρίας τουλάχιστον άνω του 50% της φυσιολογικής διαμέτρου του αγγείου. Επομένως οποιαδήποτε αύξηση της διαμέτρου της κοιλιακής αορτής πάνω από 3 εκατοστά ορίζεται ωςανεύρυσμα κοιλιακής αορτής.

Η EVAR είναι μια ελάχιστα επεμβατική διαδικασία κατά την οποία ο αγγειοχειρουργός τοποθετεί ένα καλυμμένο στεντ (σωλήνας από μεταλλικό πλέγμα καλυμμένο με ύφασμα) στην περιοχή του ανευρύσματος, έτσι ώστε να αποκατασταθεί η ροή του αίματος στην αορτή. Το στεντ εισάγεται μέσω της μηριαίας του ασθενούς υπό ακτινοσκοπική καθοδήγηση.

Εάν ένα ανεύρυσμα κοιλιακής αορτής έχει διάμετρο μικρότερη από 5 εκ., έχει μικρή πιθανότητα να υποστεί ρήξη, γι’ αυτό συνιστάται η τακτική παρακολούθηση του ανευρύσματος από αγγειοχειρουργό. Εάν, ωστόσο, ένα ανεύρυσμα είναι μικρότερο από 5 εκατοστά, αλλά αυξάνεται κατά περισσότερο από 1 εκατοστό κάθε χρόνο ή προκαλεί συμπτώματα όπως πόνο στην πλάτη και ευαισθησία, συνίσταται άμεση αποκατάσταση. Εάν το ανεύρυσμά είναι μεγαλύτερο από 5 εκ., θα χρειαστεί αποκατάσταση για την αποτροπή της ρήξης του ανευρύσματος. Η EVAR είναι μια πιθανή θεραπευτική επιλογή.

Πώς λειτουργεί;

Ο αγγειοχειρουργός θα χρησιμοποιήσει στη συνέχεια το οδηγό σύρμα για να προωθήσει το στεντ στο ανεύρυσμα. Όταν το στεντ τοποθετηθεί στη σωστή θέση, θα διασταλεί, σφραγίζοντας το ανεύρυσμα, αποκαθιστώντας τη φυσιολογική ροή του αίματος στην αορτή. Μετά την επέμβαση, τα ζωτικά σημεία σημεία του ασθενούς θα παρακολουθούνται και θα παραμείνει στο νοσοκομείο για 2-3 ημέρες. Ενθαρρύνεται η μετακίνηση μόλις ο ασθενής είναι σε θέση να κινητοποιηθεί. Θα πρέπει να πραγματοποιείται τακτικός έλεγχος του stent με υπερηχογράφημα για να διασφαλιστεί ότι βρίσκεται σε καλή κατάσταση.

Θα χορηγηθεί ένας συνδυασμός επισκληριδίου ή τοπικής αναισθησίας ή γενικής αναισθησίας για τη διαδικασία. Ο αγγειοχειρουργός θα κάνει μια μικρή τομή στο πάνω μέρος κάθε ποδιού, ώστε να μπορέσει να εισάγει έναν κοντό σωλήνα (γνωστό ως θηκάρι), ο οποίος επιτρέπει την ασφαλή πρόσβαση στην μηριαία αρτηρία. Υπό ακτινοσκοπική καθοδήγηση, ο αγγειοχειρουργός θα εισάγει οδηγούς και καθετήρες (λεπτούς εύκαμπτους σωλήνες). Ένα σκιαγραφικό μέσο (χρωστική ουσία) θα εγχυθεί στην περιοχή που υποβάλλεται σε θεραπεία, ώστε να αποκαλυφθεί η ακριβής θέση του ανευρύσματος υπό απεικόνιση.

2345678u

Ποιοι είναι οι κίνδυνοι;

Η EVAR συνιστάται ως προληπτική θεραπεία για την αποφυγή ρήξης ανευρύσματος και θανάτου.
Η πλειονότητα των ασθενών δεν αντιμετωπίζει άμεσα σημαντικά προβλήματα και η ρήξη του ανευρύσματος αποφεύγεται σε ποσοστό άνω του 99% των ασθενών. Υπάρχουν χαμηλότερα ποσοστά πόνου και σοβαρών επιπλοκών σε σχέση με την ανοιχτή χειρουργική αποκατάσταση, αλλά οι κύριοι περιορισμοί της EVAR είναι ότι το στεντ μπορεί να μετακινηθεί σε άλλη περιοχή του σώματος και ότι το αίμα μπορεί να αρχίσει να συγκεντρώνεται ξανά στο ανεύρυσμα.


Αυτό σημαίνει ότι θα χρειαστεί τακτική παρακολούθηση, έτσι ώστε εάν προκύψουν προβλήματα να επιλυθούν το συντομότερο δυνατό. Υπάρχουν ορισμένες σοβαρές επιπλοκές που σχετίζονται με τη διαδικασία, όπως ο θάνατος, το εγκεφαλικό επεισόδιο, η ισχαιμία ιστών, η ισχαιμία άκρων και ο τραυματισμός των νεφρών.


Το ποσοστό των σοβαρών επιπλοκών εκτιμάται ότι είναι μικρότερο από 15% και ο κίνδυνος θανάτου κατά τη διάρκεια της διαδικασίας είναι μικρότερος από 1,5%, δηλαδή σχεδόν τρεις φορές μικρότερος από τον κίνδυνο θανάτου κατά την ανοικτή χειρουργική επέμβαση (περίπου 4,5%). Ορισμένοι ασθενείς αντιδρούν στο ιώδιο της χρωστικής που χρησιμοποιείται για την απεικόνιση, το οποίο μπορεί να επηβαρύνει την νεφρική λειτουργία.

Ανοικτή αποκατάσταση ανευρύσματος κοιλιακής αορτής

Τι είναι η ανοικτή αποκατάσταση του ανευρύσματος της κοιλιακής αορτής;

Πρόκειται για την επέμβαση που πραγματοποιούν οι αγγειοχειρουργοί για να αντιμετωπίσουν ένα αορτικό κοιλιακό ανεύρυσμα, δηλαδή μια εντοπισμένη διάταση του τμήματος της αορτής στην κοιλιά. Κατά την επέμβαση αυτή, το διογκωμένο τμήμα της κοιλιακής αορτής αντικαθίσταται από ένα μόσχευμα από συνθετικό υλικό.

Πότε πρέπει να πραγματοποιείται η επέμβαση;

Η επέμβαση πραγματοποιείται, όταν το ανεύρυσμα της κοιλιακής αορτής παρουσιάσει συμπτώματα ή ακόμη και αν δεν παρουσιάζει συμπτώματα, αλλά είναι μεγάλο σε μέγεθος. Το μέγεθος πάνω από το οποίο σκεφτόμαστε να αντιμετωπίσουμε χειρουργικά το ανεύρυσμα της κοιλιακής αορτής είναι πάνω από 5.5 εκατοστά στους άνδρες και πάνω από 5 εκατοστά στις γυναίκες. Ο σκοπός της επέμβασης είναι η αντιμετώπιση της ρήξης της κοιλιακής αορτής, όταν το ανεύρυσμα προκαλεί συμπτώματα και η πρόληψη της ρήξης για τα ανευρύσματα που δεν έχουν προκαλέσει συμπτώματα.

Η επιλογή μεταξύ της ανοικτής και της ενδαγγειακής αποκατάστασης του ανευρύσματος της κοιλιακής αορτής προκύπτει λαμβάνοντας υπόψιν:

  • Την ανατομία του ανευρύσματος, δηλαδή το σχήμα και την εντόπιση του ανευρύσματος
  • Την ηλικία και την γενική κατάσταση της υγείας του ασθενούς, δηλαδή το κατά πόσο ο ασθενής έχει αποδεκτό χειρουργικό κίνδυνο για να υποβληθεί σε ανοικτή αποκατάσταση του ανευρύσματος
  • Την διάθεση του ασθενούς να υποβάλλεται σε τακτικό μετεγχειρητικό έλεγχο, που είναι απαραίτητος μετά από την ενδαγγειακή αποκατάσταση του ανευρύσματος της κοιλιακής αορτής, καθώς η ανοικτή αποκατάσταση είναι μια πιο ανθεκτική στο χρόνο επέμβαση και χρειάζεται λιγότερη μετεγχειρητική παρακολούθηση.

Σημείωση: Ενημερωθείτε από τον αγγειοχειρουργό σας τις διαθέσιμες επιλογές, με τα πλεονεκτήματα και τα μειονεκτήματα της κάθε μεθόδου και μη διστάσετε να εκφράσετε τις επιθυμίες και τις απορίες σας, ώστε να προβείτε στην κατάλληλη για εσάς επεμβατική διαδικασία.

Τι γίνεται κατά τη διάρκεια της επέμβασης;

Θα χρειαστεί να τοποθετηθούν μια σειρά από καθετήρες σε φλέβες των χεριών και του τραχήλου σας, ρινογαστρικός καθετήρας καθώς και ουροκαθετήρας. Οι καθετήρες αυτοί, εκτός από την παροχή υγρών και φαρμάκων, έχουν και ως σκοπό την διεγχειρητική και τη μετεγχειρητική σας παρακολούθηση. Θα σας χορηγηθεί γενική αναισθησία και ενδεχομένως θα τοποθετηθεί ένας λεπτός καθετήρας στη μέση σας με σκοπό την μετεγχειρητική παροχή αναλγητικών φαρμάκων.

Ο αγγειοχειρουργός σας θα κάνει μια μεγάλη τομή στην κοιλιά σας για να αποκαλύψει την κοιλιακή σας αορτή. Με ειδικές λαβίδες θα αποκλείσει την αορτή σας από την αρτηριακή κυκλοφορία, ώστε να σταματήσει τη ροή του αίματος μέσα στο ανεύρυσμα κατά τη διάρκεια της επέμβασης. Στη συνέχεια, ο σάκος του ανευρύσματος θα ανοιχθεί και στη θέση του «ξεχειλωμένου» τμήματος της αορτής θα τοποθετήσει ένα σωληνωτό συνθετικό μόσχευμα. Το μόσχευμα αυτό, ανάλογα και με τη ανατομία του ανευρύσματος, μπορεί να είναι ευθύ ή διχαλωτό και συρράπτεται στα φυσιολογικά τμήματα της κοιλιακής αορτής και των λαγονίων αρτηριών.

Μόλις ολοκληρωθεί η συρραφή του μοσχεύματος, οι λαβίδες αποκλεισμού αφαιρούνται και αποκαθίσταται η ροή του αίματος προς τα κάτω άκρα. Ο σάκος του ανευρύσματος ξανακλείνεται, αυτή τη φορά χωρίς να δέχεται τις πιέσεις από τη ροή του αίματος, οι οποίες απορροφώνται από το συνθετικό μόσχευμα που έχει ήδη τοποθετηθεί εσωτερικά και το κοιλιακό τραύμα συρράπτεται κατά στρώματα. Συνήθως για την επέμβαση απαιτούνται περίπου 3 ώρες.

Μετά από την επέμβαση

Θα χρειαστεί να παραμείνετε στο νοσοκομείο για 7 με 10 ημέρες για παρακολούθηση και τις πρώτες από αυτές συνήθως χρειάζεται να νοσηλευτείτε σε μονάδα εντατικής θεραπείας. Η αρχική περίοδος μετεγχειρητικά είναι η πιο δύσκολη, καθώς θα χρειάζεστε φάρμακα για την αντιμετώπιση του πόνου, υγρά και φάρμακα, μέχρι να λειτουργήσει το έντερό σας. Μετά από μερικές ημέρες, μόλις λειτουργήσει το έντερό σας, θα αφαιρεθεί ο ρινογαστρικός σωλήνας και ο ουροκαθετήρας και θα μπορείτε να ξεκινήσετε να σιτίζεστε υγρά στην αρχή και στην συνέχεια στερεές τροφές.

Μόλις ο γιατρός σας είναι ικανοποιημένος με τη πορεία σας, θα σας επιτρέψει να σηκωθείτε από το κρεβάτι και να καθίσετε στην καρέκλα ή να κάνετε λίγα βήματα. Στην αρχή θα αισθάνεστε ιδιαίτερα καταβεβλημένος και με ελάχιστες δυνάμεις. Αυτό είναι αναμενόμενο και θα βελτιωθεί με τον καιρό, καθώς οι δυνάμεις σας θα επανέρχονται. Η χορήγηση υγρών και φαρμάκων διακόπτεται μετά από μερικές ημέρες και ο γιατρός σας θα σας ενθαρρύνει να σηκώνεστε όλο και περισσότερο και να τρώτε τροφές πλούσιες σε πρωτεΐνες. Η ανάγκες σε παυσίπονα θα γίνονται κάθε ημέρα όλο και μικρότερες και μόλις ο ιατρός σας είναι ικανοποιημένος με την πορεία σας, θα μπορέσετε να πάτε στο σπίτι σας.

Θα χρειαστεί να συνεχίσετε τα φάρμακα για τη ρύθμιση της πίεσης και θα χρειαστεί να λαμβάνετε αντιαιμοπεταλιακή αγωγή. Συνήθως χρειάζονται αρκετές εβδομάδες μετά από την επέμβαση, μέχρι να επιστρέψετε στη συνηθισμένη φυσική σας δραστηριότητα. Στο μεταξύ, θα πρέπει να αποφεύγετε την άρση βαρών, να κάνετε μικρές βόλτες και να αναπαύεστε μέχρι να νοιώσετε τις δυνάμεις σας να επανέρχονται. Δραστηριότητες όπως επιστροφή στην εργασία ή η οδήγηση μπορεί να χρειαστούν αρκετές εβδομάδες μέχρι να είστε σε θέση να τις εκτελέσετε.